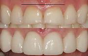
لامینتها معمولا بدون تراش و یا حد اقل تراش دندان در حد یک لنز چشمی ساخته میشوند البته تراش لامینتهای کمپوزیتی خبلی کمتر از لامینتهای سرامیکی است
لامینتها گاها با اسامی دیگری مثل ونیر و یا فیسینگ نیز معروف هستند که در کشورهای مختلف اسامی مختلفی دارند که از انواع مختلف کمپوزیتی و سرامیکی و زیرکونیوم ساخته میشود


لمینت های کمپوزیتی و سرامیکی
لامینت به ضخامت لنز